Le Dr. Rodia a dédié toute son activité professionnelle depuis le 2006 dans le domaine de la chirurgie orale et en particulier à l’implantologie, la reconstruction de l’os et des gencives, et l’implantologie en prise en charge immédiate selon les techniques All on four, implants Zygomatiques et Ptérygoïdes.

 

Il est fortement convaincu qu’aujourd’hui tous les patients méritent des dents fixes, raison pour laquelle il s’est formé avec les meilleurs experts mondiaux dans le domaine de l’implantologie avancée et de la greffe osseuse.

 

Aujourd’hui il est possible, dans la plupart des cas, de poser des prothèses durables et fixes dont la fonctionnalité et l’esthétique sont tout à fait comparables à celles des dents naturelles, tout cela en garantissant le bien bien-être buccal et psychologique de ses patients.

 

Aujourd’hui l’implantologie a un taux de succès à 10 ans qui dépasse les 95%. Tout cela grâce à l’utilisation des méthodes les plus modernes de diagnostiques tels que la radiologie 3D, la chirurgie assistée par ordinateur et la planification selon des protocoles stricts tant sur le plan esthétique que fonctionnel.

 

Il existe sur le marché une multitude de producteurs d’implants, mais très peu de systèmes ont été soumis à des études scientifiques de longue durée. Nous utilisons dans notre cabinet les implants des sociétés :

 

Le choix de l'utilisation d’un implant plutôt que d'un autre se fait en fonction des besoins spécifiques de chaque patient.

 

Tous les implants (ou racine artificielle en titane) sont composés d’un matériau : le titane. Il est toléré par les tissus biologiques (biocompatible), et ne déclenche donc pas de réaction de rejet, d’hypersensibilité (allergies) ou inflammatoire de la muqueuse buccale.

 

D’autres formes d’implants, comme les implants à lame ou les implants basales (Basale Osseo Integration) ne sont pas utilisés dans notre cabinet, car ils ne respectent pas les critères mentionnés précédemment. Ces implants ne sont d’ailleurs pas recommandés par la plupart des sociétés scientifiques spécialisées.

Soins dentaires

Examen dentaire et contrôle périodique avec ou sans radiographies, détartrage/prophylaxie, traitement des caries par des obturations composites, reconstruction de dents fracturées, scellement des sillons "sealants"

Comprenant la dévitalisation/traitement endodontique, retraitement endodontique, urgences pulpaires (pulpites, nécroses)

Couronnes, bridges, facettes, prothèses amovibles partielles, prothèses complètes, réparations de prothèses, inlays/onlays.

Blanchiment dentaire, composites esthétiques.

Gestion de la douleur, traumastimes dentaires, pansement d'urgence, contrôle d'infections dentaires ou parodontales.

Contrôles enfants, traitement des caries enfants, fluoration, extractions dents de lait, sealants.

Détartrage approfondi, surfaçage/curetage, suivi des gencives

Nous avons la chance d’être équipés depuis 2018 d‘un outil performant pour les examens radiologiques des maxillaires : Carestream 8100 3D

 

À mi-chemin entre la radiographie panoramique dentaire classique et le scanner, le Cone Beam crée une petite révolution dans le domaine de l’imagerie médicale. Cet appareil offre notamment de nouvelles opportunités en matière d‘examen dentaire, mais reste encore peu connu du public.

 

La Radio 3D aussi appelée CBCT Cone Beam Computed Tomography est une nouvelle technique de radiologie numérisée. Elle est plus précise que la panoramique dentaire, avec l’avantage d’offrir une reconstruction numérique en 3D, nous apportant des indications plus détaillées sur les petites structures osseuses, tout en restant moins irradiante qu’un scanner traditionnel. Il offre par ailleurs la possibilité de localiser le champ d‘examen radiologique sur la zone d’intérêt, ce qui permet d’éviter d’irradier inutilement les autres parties du crâne.

 

Les applications du Cone Beam sont nombreuses : dents de sagesse, fractures, infections, kystes. Il est un instrument de choix pour la planification implantaire et les chirurgies de greffes osseuses. Il permet d‘évaluer au plus juste le volume osseux et la position des structures anatomiques nobles adjacentes, comme les nerfs et les sinus maxillaires en vue de la pose d’implants.

 

Il a ses limites également, il ne permet pas d‘étudier les tissus mous.

Les dents de sagesse sont à haut risque d’infections, d’inflammation des tissus avoisinants, de développer des kystes ou des tumeurs bénignes et de causer des caries ou la résorption radiculaire des dents voisines. Leur extraction est bien souvent le meilleur moyen de prévenir ces problématiques

 

De nos jours, grâce à nos protocoles peu invasifs et particulièrement rigoureux, l’extraction des dents de sagesse est devenue un soin largement moins traumatisant pour les tissus mous et les sensibilités postopératoires ont pu être considérablement réduites.

 

Pour le confort des patients, il y a la possibilité d’effectuer ce type d’intervention chirurgicale sous anesthésie générale grâce à notre collaboration avec l’équipe d’anesthésie MAC.

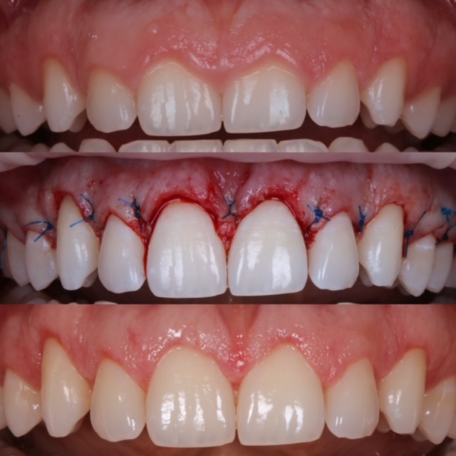
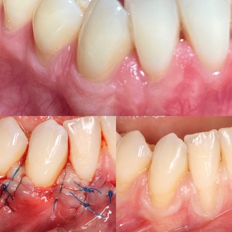
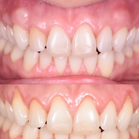
Les greffes sont souvent indiquées lorsque les dents présentent des récessions gingivales ou un manque de gencive attachée. Dénudées, les racines sont en effet plus vulnérables aux caries et aux hypersensibilités dentaires (dents sensibles au froid), ce qui peut altérer la qualité de vie à long terme. Par ailleurs, les dents semblent plus longues, des espaces interdentaires apparaissent et l’aspect peu esthétique est souvent mal vécu surtout lorsqu’il s’agit de dents antérieures.

La greffe de gencive se fait en trois grandes étapes :

 

  • La préparation du site receveur ;
  • Le prélèvement du greffon ;
  • Sa suture au niveau de la récession.

L’opération se fait sous une simple anesthésie locale.

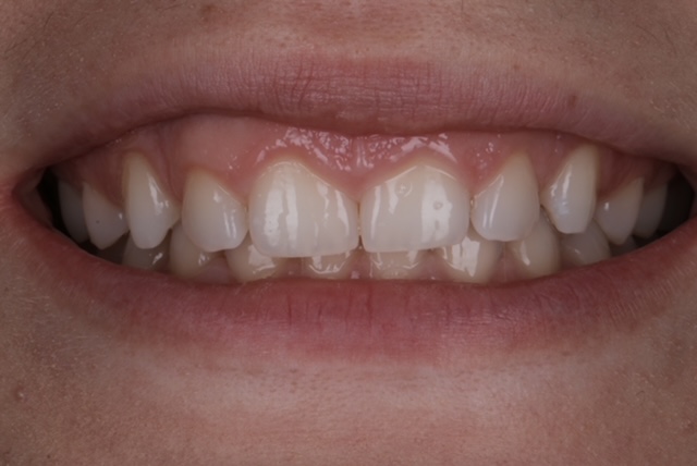
Le « sourire gingivale » aussi appelé « gummy smile » est le fait qu’au sourire, une partie jugée trop importante de gencive est découverte par la lèvre supérieur, et que le ratio « dent-gencive » n’est pas considéré comme esthétique : trop de gencive, ou pas assez de dent.

 

Après une analyse méticuleuse de l’origine de cette apparence non harmonieuse, le parodontologiste peut alors discuter des options de corrections chirurgicales possible afin de rétablir une esthétique du sourire.

 

Dans la mesure où ces corrections gingivales sont corrigibles par intervention parodontale, les options de traitement seront toujours les plus atraumatiques possible grâce aux techniques de microchirurgies.

 

Le résultat étant immédiat, rapide et définitif, ce type de procédure est largement pratiquée au sein de notre cabinet de manière quotidienne.

L’endodontie traite l’intérieur de la dent : la pulpe et les tissus périradiculaires (au-delà de la racine). Destinée à soigner et prévenir les infections de ces zones, elle préserve une dent qui risque d’être définitivement perdue étant donné sa fragilité.

 

Souvent, à la suite d’un traitement de racine, une reconstruction est nécessaire. Cette dernière peut être en résine composite directe ou alors en réhabilitations indirectes via des inlay ou onlay en composite ou céramique pressée.

 

Onlay/Inlay ou composites directs sont aussi utilisés pour le remplacement d’amalgames (plombages gris) lors de la décontamination des métaux lourds. Nous respectons un protocole strict qui prévoit de travailler sous champ opératoire (digue) et aspiration forte.

 

Le choix entre les deux techniques suit des indications bien précises :

 

  • Utilisation de résine composite pour les cavités de petites et moyennes étendues.
  • Utilisation de la céramique pour les grandes cavités.

La résine composite de couleur blanche (jusqu’à 6 teintes disponibles en fonction de la couleur naturelle des dents du patient), est appliquée en plusieurs couches puis sculptée dans la cavité en respectant un protocole de collage strict et ne nécessite qu’une seule séance.

 

L’utilisation de céramique (Inlay / Onlay) comporte une étape de laboratoire et nécessite donc deux rendez-vous. Le matériau est dans ce cas encore plus esthétique, plus solide et durable. Il est parfaitement adapté pour les grandes cavités ou les anciens plombages ayant entraîné des fissures de la dent.

 

Dans les cas extrêmes où la partie résiduelle de la dent ne nous offre pas de garanties de survie à long terme pour une restauration en composite ou onlay, on finalisera la réhabilitation de la dent avec une couronne traditionnelle metal free en céramique pressée ou en zircon, selon les indications du cas. Au sein de notre cabinet, les anciennes couronnes en or ou structure métallique « noir » ne sont plus d’actualités.

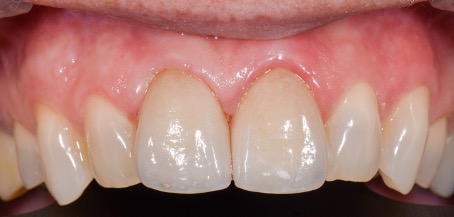
Les facettes sont de fin revêtement en céramique que l’on scelle à la surface des dents. Cela nous permet de corriger le contour, la dimension et la couleur des dents afin d’harmoniser l’esthétique du sourire.

 

Il s’agit d’une technique dentaire simple et indolore, et, contrairement aux idées reçues, ne nécessitant, dans la plupart des cas, que très peu d’ablations de matière dentaire. La taille et le scellement des facettes se font en suivant un protocole permettant d’optimiser le collage tout en respectant l’intégrité des gencives. Nos facettes sont confectionnées à la main par un technicien dentaire, et le collage final et effectué seulement après l’approbation totale du patient.

 

Les progrès techniques, pharmaceutiques et médicaux nous permettent de réaliser des interventions sous anesthésie générale dans le cadre ambulatoire, en toute sécurité, et selon les normes et recommandations de la Société suisse d’anesthésie et de réanimation.

 

  • Pour des interventions longues ou des chirurgies importantes, nous vous proposons au cabinet une anesthésie par sédation ou même une anesthésie générale.

Réalisés et suivis par notre anesthésiste spécialiste FMH, ces actes nécessitent une préparation et un suivi supplémentaire.

 

Pour de plus amples informations : www.mobile-anesthesia-care.ch

Une approche douce et sereine des soins dentaires

 

Le protoxyde d’azote, également appelé gaz hilarant, permet de vivre les soins dentaires dans un état de relaxation profonde et de confort absoluAdministré par voie respiratoire, il agit rapidement, réduisant le stress et la peur souvent associés aux traitements.

 

Idéal pour les enfants et les patients anxieux

 

Cette technique est particulièrement indiquée pour les enfants et les adultes anxieux.

Le patient reste conscient, respire normalement et peut dialoguer avec le praticien pendant toute la durée du soin.

 

Sécurité et bien-être

 

L’effet est immédiat et réversible : après quelques minutes, la sensation de détente s’installe naturellement, puis disparaît dès l’arrêt du gaz.

Le protoxyde d’azote est une méthode sûre, douce et scientifiquement validée, utilisée depuis des décennies dans le monde entier.

 

Offrez-vous une expérience dentaire sans stress — dans un cadre calme, professionnel et bienveillant.

La santé gingivale au cœur du sourire

 

Une bouche saine est essentielle pour un sourire durable. Nos soins d’hygiène et de parodontologie non chirurgicale visent à prévenir et traiter les inflammations gingivales sans recours à la chirurgie.


Des traitements précis et confortables

 

Grâce à des techniques modernes — détartrage en profondeur, surfaçage radiculaire et contrôle microbiologique — nous éliminons les bactéries responsables des maladies parodontales tout en respectant vos tissus.

 

Prévention et suivi personnalisé

 

Chaque patient bénéficie d’un programme d’entretien sur mesure, combinant soins professionnels et conseils d’hygiène à domicile. Notre objectif : préserver vos dents naturelles et maintenir une santé bucco-dentaire optimale dans le temps.


La prévention est la meilleure des thérapeutiques. Prenez soin de votre sourire dès aujourd’hui.