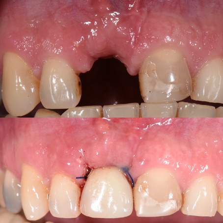
Implant unitaire

Lorsqu’une seule dent est manquante et doit être remplacée par un implant, on parle d’implant unitaire.

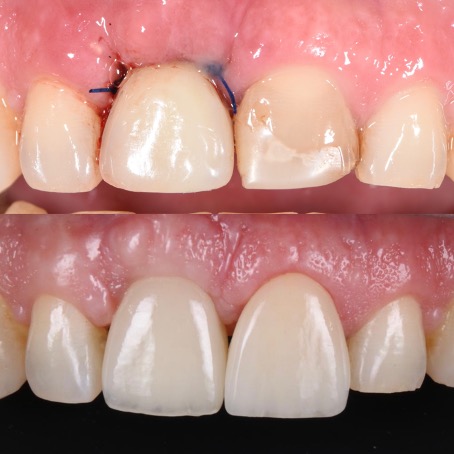
Cas esthétique d'implant unitaire

Mise en charge immédiate

Dans le passé, ces interstices étaient comblés, dans la plupart des cas, par des bridges qui impliquaient de devoir tailler les dents adjacentes, pouvant être saines et non-cariées, afin d’installer le bridge ce qui a l’inconvénient de léser deux dents supplémentaires.


Avec un implant unitaire et la mise en charge immédiate dans les zones esthétiques (quand c’est possible et selon le cas observé), la phase de cicatrisation, normalement de quelques semaines, se déroule avec une dent provisoire fixe (couronne provisoire vissée) qui permet d’éviter l’installation d’une prothèse provisoire amovible (dentier). Cela épargne aux patients de subir une intervention supplémentaire et il s’agit aujourd’hui d’une procédure standardisée, très confortable et très appréciée par les patients. C’est uniquement dans les cas exceptionnels, comme par exemple en cas d’infections aiguës, qu’il est préférable d’extraire d’abord la dent délabrée et de poser l’implant seulement lorsque l’inflammation est résolue.