Greffe osseuse

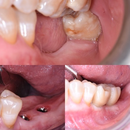
Lors de perte osseuse engendrée par l'extraction dentaire, la reconstruction osseuse est possible pour permettre la pose de dents fixes.

Greffe osseuse et sinus lift

Greffe osseuse

Greffe osseuse

Souvent durant les premières consultations, nos patients référés nous expliquent avoir perdu l’espoir d’avoir des dents fixes à cause de la perte osseuse engendrée par l’extraction dentaire, partant du principe que l’os existant n’est plus suffisant pour accueillir avec fiabilité les implants sans connaître qu’une greffe osseuse et possible.


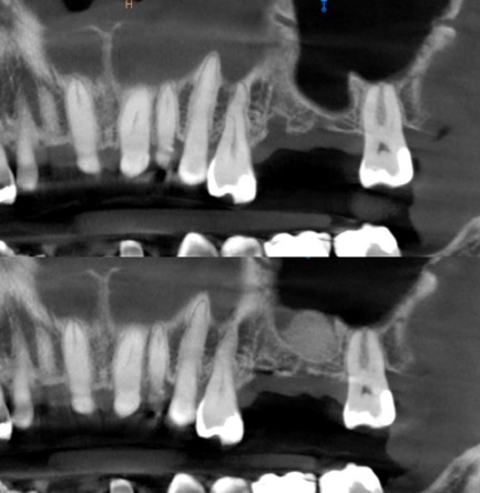
En effet, une reconstruction osseuse (Greffe osseuse) est indispensable, pour rétablir la hauteur ou la largeur de l’os maxillaire, avant ou en même temps que l’implantation. Ce sont soit les os du patient ou un substitut osseux qui sont utilisés comme matériau de comblement.


Les études nous montrent des résultats extraordinaires avec l’utilisation exclusive ou mélangée que ce soit avec de l’os synthétique ou de l’os autologue (os prélevé dans la bouche du patient pendant l’intervention de reconstruction osseuse).

Il y a plusieurs techniques des reconstructions osseuses et une planification correcte nous donne la possibilité de choisir la technique la plus appropriée pour chaque situation.