All-on-4®

Édentation totale de la mâchoire – restauration complète fixe avec des implants dentaires

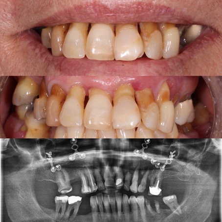
Avant

Après

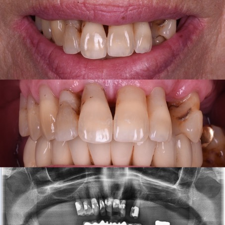
Avant

Après

Avant

Après

La perte de toutes les dents naturelles est toujours synonyme de perte de la fonction masticatoire et de l’esthétique du visage (changement des lèvres, ce qui donne au patient un air plus âgé et accentue les rides sur les parties du visage qui se sont affaissées) pour le patient en plus d’un énorme problème psychologique et relationnel dans la société.

 

Souvent le choix était le port d’une prothèse complète ou avec des prothèses toujours amovibles accrochées à des implants, avec toutes les conséquences qui s’ensuivaient : points de pression, mauvaise tenue de la prothèse, surtout sur la mâchoire inférieure, fonction masticatoire réduite, altération du goût, et parfois des nausées ou des difficultés d’élocution.

 

Selon les techniques modernes de mise en charge immédiate pour les patients édentée, nous avons la possibilité, dans la plupart des cas, d’offrir des dents fixes aux patients dans la journée.

Le protocole All-on-4® permet de réaliser immédiatement une prothèse fixe avec seulement quatre implants par mâchoire. Les implants du fond sont mis en place avec une inclinaison de 30 à 45 degrés, dans les cas où des dents encore présentes devraient être extraites le tout est fait pendant la même opération, la journée se termine pour le patient avec l’installation des dents fixes dans le 90% des cas. Une prothèse définitive sera réalisée environ 4 mois plus tard.

 

Toutes les études scientifiques sont unanimes à dire que la méthode All-on-4® utilisée pour les prothèses fixes implanto-portées a un taux de réussite très élevé. Les bridges All-on-4 sont aussi durables et fiables que les armatures à six implants ou plus.

 

L’intervention peut alors être réalisée sous anesthésie locale ou aussi anesthésie générale pour les patients qui le souhaiteraient (mobile-anesthesia-care.com), la durée de l’intervention est d’environ 1 heure par arcade.

En cas d’atrophie osseuse importante de la mâchoire supérieure, après avoir porté, par exemple pendant des années, une prothèse complète, la masse osseuse a parfois disparu et une implantation normale devient impossible selon les techniques traditionnelles. Dans ce cas une option avantageuse par rapport à une greffe osseuse de grande envergure est le placement d’implants zygomatiques.

Les implants zygomatiques et ptérygoïdiens représentent une alternative intéressante à la greffe osseuse en cas d’atrophie osseuse importante de la mâchoire supérieure édentée. Des implants spéciaux, très longs (env. 50 mm) sont ancrés dans l’os zygomatique et servent de support à un bridge fixe implanto-porté.

 

Le bridge, fixé par des vis sur les implants, est conçu selon la méthode All-on-4®. En cas d’atrophie osseuse grave du maxillaire, les implants zygomatiques et ptérygoïdiens sont la seule possibilité qui existe pour réaliser une prothèse fixe et immédiate sans avoir recours à une greffe osseuse de grande envergure.

 

Cependant, malgré une planification et une exécution minutieuse de l’intervention, nous ne sommes pas à l’abri d’un échec : une surcharge de l’os ou une infection bactérienne peuvent anéantir les implants ou la reconstruction osseuse, dans de rares cas, les nerfs sensitifs situés à proximité ou les racines dentaires peuvent être endommagés.

Sont surtout considérées comme facteurs à risque pouvant causer la perte d’un implant :

 

  • une mauvaise hygiène buccale
  • le tabagisme
  • une atrophie osseuse importante des maxillaires
  • un diabète mal équilibré avec un taux de sucre variable dans le sang
  • un système immunitaire affaibli, par exemple après la prise d’immunosuppresseurs suite à une greffe d’organe, en cas d’arthrite rhumatoïde grave ou d’autres maladies du système immunitaire

Un suivi régulier et une bonne hygiène buccale quotidienne sont les meilleures conditions préalables pour garantir la réussite à long terme du traitement implantaire. Si l’implant vient à tomber, en règle générale, il est possible de le remettre en place une fois que l’os a cicatrisé.